体检查出肺结节意味着什么?
央视网消息:每年的11月是“全球肺癌关注月”。肺癌是我国发病率、死亡率最高的恶性肿瘤。随着胸部CT的普及,越来越多的肺结节被筛查出来。眼下正值年底体检高峰,一旦体检发现肺结节,就意味着会有发展成肺癌的风险吗?肺结节是否需要立刻手术呢?
肺结节≠肺癌 绝大多数是良性
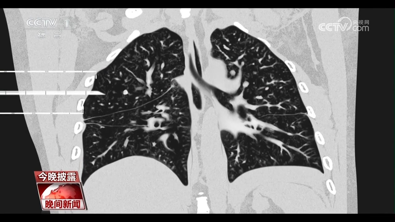
专家介绍,2毫米以上的结节都能在CT上发现。肺结节不等于肺癌,而且绝大多数是良性的,胸部CT检查初次发现肺结节,先不要恐慌,应根据医生的建议定期复查,观察肺结节的变化。

北京大学人民医院副院长 杨帆:大家在很多地方,把磨玻璃(结节)去制造了太多的焦虑,把磨玻璃(结节)太多地等同于肺癌,产生了大量的过度诊断和过度治疗。
首都医科大学宣武医院胸外科首席专家 支修益:特别是复合肺结节直径小于等于3厘米的磨玻璃结节,95%以上都是良性的,我们通过观察它的大小、边缘、密度的变化,来决定是否需要临床干预,而小于6毫米的,我们根本就不干预,年度健康体检就可以了。
专家建议50岁以上高危人群应做胸部CT
虽然大部分的肺结节是良性的,不需要治疗,但近些年来,40到50岁左右的肺癌患者明显增多。由于肺癌的早期症状不明显,70%到80%的患者确诊时已是中晚期。因此,专家提醒,50岁以上的高危人群至少应做一次胸部CT进行肺癌的早期筛查。

首都医科大学宣武医院胸外科首席专家 支修益:如果年龄大于50岁,是个烟民,吸烟指数超过400以上,也就每天吸烟超过一包,连续吸烟超过20年的烟民朋友;有肿瘤家族史的,包括肺癌家族史,既往有肺部慢性疾病的人群;有环境职业暴露的人群,这些人如果你这辈子还没做过胸部CT,我建议你做一个用胸部CT,给我们的双肺留个底板。
播放视频画中画
肺癌患者5年生存率正逐年提升
肺癌虽然相对高发,但目前我国已有较为成熟的治疗方法。与此同时,随着我国癌症防治体系的持续完善、规范化诊疗水平稳步提升,肺癌患者的5年生存率正逐年提升。

今年53岁的郭女士,刚刚在四川大学华西医院接受了肺结节微创手术,体表只有一个创可贴就可以贴住的3mm大小的伤口。郭女士在2021年体检时,发现右肺有一个小结节,大小约为4毫米。今年复查显示,结节长到了6毫米,并且形态较为可疑。这个小结节成了郭女士的一块心病,不开刀担心是肺癌,开刀要切除一大块肺组织,心里又很害怕。
患者 郭女士:医生说了我是高危结节,所以说一直在心里,都是一个定时炸弹,每年都担心。所以说每年我都在随诊复查,今年复查,结节长了,医生建议我可以采取这种新技术。
新型微创技术让创伤更小恢复更快

手术团队在患者胸口,通过3毫米大小的穿刺孔,在导航系统的引导下,把专用球形切除器,精准送达肺结节所在位置,随后球形切除器张开,包裹肺结节后,将病灶切除并取出,在肺内仅留下直径约15毫米的球形切除空腔。当天,郭女士的手术非常成功,术后病理检验证实,她的肺小结节是原位癌。这种新型微创技术让手术创伤更小,恢复更快。
四川大学华西医院教授 刘伦旭:目前非常多的这种肺的小结节,通过了一个非常超微创的、损失很小的办法,在它更早期的时候就给处理掉,以最小的代价来解决它一个非常潜在的巨大的问题。
新型疗法推动肺癌治疗进入精准化时代
目前,随着靶向治疗、免疫治疗等新型疗法不断突破疗效瓶颈,肺癌治疗进入了精准化、个性化时代。

北京大学人民医院副院长 杨帆:到今天我们对于早期肺癌谈论的已经不是治愈,而是付多小的代价能够治愈,同时保留正常的工作能力生活能力,哪怕晚期肺癌,部分患者已经实现了慢病化,预期生存已经超过了5年。