发热仅1天12岁初中女生肺全白!这种冬季高发的支气管炎会堵死气道极度危险,别当普通感冒!
都市快报讯 孩子感冒咳嗽看似常见,可 12 岁女孩笑笑(化名)的经历却让人感到后怕——仅发热 1 天,左肺就变成了 “白肺”,呼吸急促到无法平躺,血氧饱和度勉强维持在 90% 左右,情况十分危急!

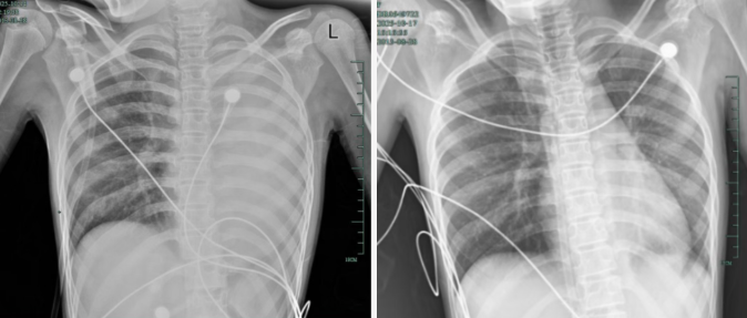
治疗前,左肺呈“白肺”状态;治疗后,“白肺”被吸收,心脏边缘清晰可见
在浙大四院儿科等多学科团队的努力下,笑笑已经转危为安。不过这次来势汹汹的急症背后,藏着一种容易被忽视的急性重症呼吸道疾病——塑型性支气管炎。
感冒咳嗽变“白肺”
危险藏在黏液里
笑笑一开始只是轻微咳嗽,发热到38℃,外院检查提示肺炎、肺不张,转诊到浙大四院儿科时,病情已经急剧恶化。
入院后,她很快出现呼吸急促、胸闷胸痛,体温38.5℃,只能靠 5L/min 的面罩吸氧维持血氧,胸片显示左肺已完全呈 “白肺” 改变,肺部炎症进展迅猛。
儿科虞琳副主任医师凭借经验判断,笑笑极有可能是患上了 “塑型性支气管炎”。这是一种肺部感染的严重肺内并发症,由不同原因引发的支气管内生性异物阻塞疾病,会导致支气管阻塞、通气和气体交换功能障碍,主要症状为呼吸困难、喘息、胸痛及发热,严重时会引发危及生命的呼吸循环衰竭。
“这种病的凶险之处在于,气道会被大量胶冻状的黏液栓和支气管塑型堵塞,就像呼吸通道被‘水泥’ 封住,氧气进不去、二氧化碳出不来,随时可能窒息。”
多学科联手“保驾护航”
支气管镜打通生命通道
由于笑笑血氧不稳定、对缺氧耐受差,手术风险极高,随时可能需要气管插管和呼吸机辅助通气。医院立刻启动多学科协作,儿科联合重症医学科、呼吸与危重症医学科、麻醉科共同制定方案,最终决定紧急开展支气管镜手术。
手术中,支气管镜刚进入气道就看到令人揪心的一幕:气道黏膜充血水肿,大量黄白色黏痰不断涌出,左主支气管及各肺段开口已被黏液栓完全堵死。
医护团队争分夺秒,用负压吸引、灌洗、钳取等方式清理堵塞物,“镜子被黏稠分泌物堵住就拔出疏通再插入,患者缺氧耐受差就及时加压给氧…… ”虞琳副主任医师表示,经过反复操作,终于打通了被堵塞的呼吸通道。
术后第二天,笑笑呼吸困难、胸痛的症状明显好转,病情得到了初步控制,成功从“鬼门关”拉了回来,转回儿科普通病房继续治疗。
后续检查发现,引发她此次感染的是毒力极强的铜绿假单胞菌,多发生在免疫功能低下人群。经过精准抗感染、祛痰、抗炎等系列治疗,孩子逐渐康复,已顺利出院。庆幸的是,笑笑的“白肺”基本吸收,恢复如常,没有留下严重的并发症。
孩子出现这些症状
千万别拖延,尽快就诊!
虞琳医生介绍,塑型性支气管炎是儿童期凶险的呼吸道急症,常见于 2~12 岁儿童,多由流感病毒、肺炎支原体、腺病毒等病毒或细菌感染引发。
它的特点是起病隐匿、进展快,容易误诊漏诊,若不及时治疗,可能遗留闭塞性细支气管炎、支气管扩张症等后遗症,严重时直接危及生命。
家长要警惕这些信号:孩子感冒咳嗽后出现持续发热、喘息加重、呼吸急促、胸闷胸痛、胸片或CT提示“肺不张” “肺实变”,尤其是症状在短时间内快速恶化时,一定要立即就医,切勿当作普通感冒拖延。
目前,经支气管镜直接去除气道内的塑型性异物是最直接、最有效的治疗方法。支气管镜不仅能直接观察气道情况、获取标本明确病因,还能通过灌洗、钳夹等方式清除分泌物,帮助控制感染、缩短病程,减少后遗症风险。
医生提醒,孩子的呼吸道娇嫩,看似普通的感冒也可能暗藏凶险。家长牢记这些预警信号,早发现、早干预,才能为孩子的健康保驾护航。